麻辣社区-四川第一网络社区

校外培训 高考 中考 择校 房产税 贸易战
阅读: 4525|评论: 0

宜宾男子工地意外坠落,工友一个错误施救动作,险些害他丧命!

[复制链接]

发表于 2021-7-27 20:45 | 显示全部楼层 |阅读模式
今年64岁的李某是一名建筑工人,在宜宾一处工地进行高空作业时,因脚下打滑,不慎从高处脚手架掉到水泥地面上。
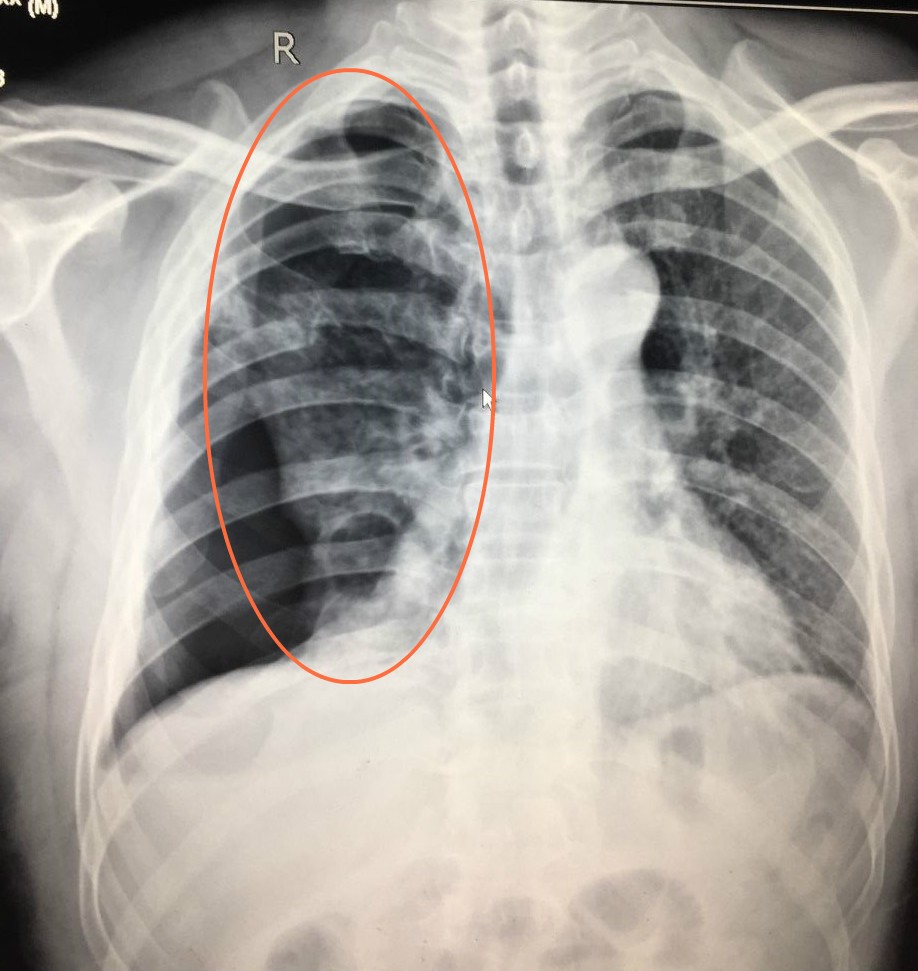
1.png
李某当场昏迷,工友见状立马为他进行了胸外心脏按压施救,其他工友到场后连忙制止,将李某紧急送往宜宾民心创伤骨科医院。
检查发现,李某右侧多根多处肋骨骨折伴肺挫裂伤和气胸,万幸的是,工友进行胸外心脏按压时并没有导致断裂的肋骨刺破肺部,才没有酿成大祸!如果肺部出血没有得到及时的救治,是十分致命的。
2_meitu_1.jpg
由于病情复杂,且老人又患有心脏病、高血高等多种基础疾病,宜宾民心创伤骨科医院的骨科主任仔细研究病情后决定,为李某实施手术治疗。
入院不久,在宜宾民心创伤骨科医院骨科主任的带领下,为李某成功施行右侧多发骨折切开复位内固定术+胸腔引流术。术后,李某胸部疼痛立刻减轻。
3_meitu_2.jpg
经过一段时间的康复,李某恢复良好,现在打喷嚏,咳嗽也不疼了,目前已经康复出院。
医生提示:不是所有昏迷都能做心肺复苏,尤其是高处坠落受伤,大部分患者都会有不同程度的骨折,当患者肋骨骨折时,进行胸外按压,很可能导致伤者受到二次伤害,造成肺部出血危机生命,一旦发生从高处坠落一定要第一时间前往医院就医。
工友的施救行为,你认为对吗?
A:对
B:不对

打赏

微信扫一扫,转发朋友圈

已有 0 人转发至微信朋友圈

   本贴仅代表作者观点,与麻辣社区立场无关。
   麻辣社区平台所有图文、视频,未经授权禁止转载。
   本贴仅代表作者观点,与麻辣社区立场无关。  麻辣社区平台所有图文、视频,未经授权禁止转载。
高级模式 自动排版
您需要登录后才可以回帖 登录 | 注册

本版积分规则

复制链接 微信分享 快速回复 返回顶部 返回列表 关闭