麻辣社区-四川第一网络社区

校外培训 高考 中考 择校 房产税 贸易战
阅读: 5618|评论: 0

宜宾七旬老人被无牌电动车撞成重伤,车主接下来的举动真没想到...

[复制链接]

发表于 2021-9-23 20:35 | 显示全部楼层 |阅读模式
发生交通事故之后,第一时间报警这是常识。但是,就在不久前宜宾发生了一起电动车撞行人事故,肇事者撞人后不仅不报警还将伤者拖到一边企图逃跑
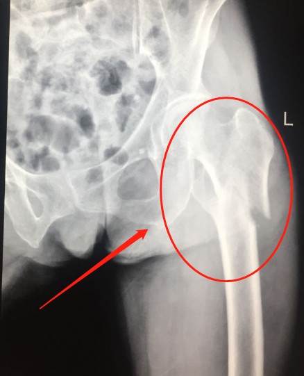
近日,七十多岁的王奶奶(化名)在赶集回家途中被一辆无牌无证电动车迎面撞倒在地,当即感左髋部剧烈疼痛,不能站立行走,
1632327655(1).png
肇事车主下车后竟将王奶奶(化名)拖到一边后企图逃逸,事故发生后,周围群众迅速聚集围观,司机见状才拨打了120急救电话。
一会儿,医护人员到达现场,并将伤者送到宜宾民心创伤骨科医院抢救,被检查诊断为“左侧股骨粉碎性骨折”。
术前1.png
入院后,家属考虑到王奶奶年龄大了,担心承受不住手术风险,宜宾民心创伤骨科医院骨科主任对王奶奶做了周密的身体检查,并对家属做了说明,家属经过考虑后,决定同意手术。
入院第二天,宜宾民心创伤骨科医院骨科主任为王奶奶成功实施了“左侧股骨近端粉碎性骨折切开复位髓内针内固定术”。
术后.png
半个月后,再次见到王奶奶时,她已经能扶拐下地行走,正在进行术后的康复锻炼,目前,王奶奶已经康复出院!
事后得知,电动车主因担心赔不起钱,所以企图伪造交通事故逃避责任!

打赏

微信扫一扫,转发朋友圈

已有 44 人转发至微信朋友圈

   本贴仅代表作者观点,与麻辣社区立场无关。
   麻辣社区平台所有图文、视频,未经授权禁止转载。
   本贴仅代表作者观点,与麻辣社区立场无关。  麻辣社区平台所有图文、视频,未经授权禁止转载。
高级模式 自动排版
您需要登录后才可以回帖 登录 | 注册

本版积分规则

复制链接 微信分享 快速回复 返回顶部 返回列表 关闭