麻辣社区-四川第一网络社区

校外培训 高考 中考 择校 房产税 贸易战
阅读: 8489|评论: 1

宜宾一快递小哥送货途中出车祸,一条腿3处粉碎性骨折...

[复制链接]

发表于 2021-10-29 21:58 | 显示全部楼层 |阅读模式
近日,快递员王某像往常一样骑着三轮车送货,然而在路上却不幸被一辆私家车转弯时撞倒在地,王某右腿严重受伤,不能站立,后经120立即送往附近医院。
三轮车撞小车.jpg
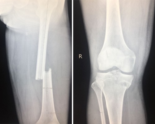
检查拍片显示:右股骨中段骨折、右胫骨上段粉碎性骨折、右髌骨粉碎性骨折、右侧眼眶内侧壁骨折。
术前.jpg
医院完善相关检查后,考虑到王某伤情严重,病情复杂,处理难度较大,建议转上级医院进一步治疗。
对伤口进行简单处理后,王某转院来到宜宾民心创伤骨科医院就诊,根据骨折的形态,骨科主任经过推测出患者在受伤当时遭受的暴力是非常大的,比较幸运的是,没有伤及头部、腹部等其他重要脏器。
术后拼图.jpg
在宜宾民心创伤骨科医院骨科主任的带领下,团队迅速制定方案,完善术前检查,第一时间对患者进行了右股骨、胫骨上段、髌骨粉碎性骨折切开复位内固定手术治疗。
1635507106(1).png
半个多月后,王某已经能慢慢下地进行康复锻炼了,据医生介绍,不久王某即可康复出院了。此次事故判定小车车主全责,王某无责任!

打赏

微信扫一扫,转发朋友圈

已有 67 人转发至微信朋友圈

   本贴仅代表作者观点,与麻辣社区立场无关。
   麻辣社区平台所有图文、视频,未经授权禁止转载。
   本贴仅代表作者观点,与麻辣社区立场无关。  麻辣社区平台所有图文、视频,未经授权禁止转载。
发表于 2021-10-30 12:08 | 显示全部楼层
哎 造孽
高级模式 自动排版
您需要登录后才可以回帖 登录 | 注册

本版积分规则

复制链接 微信分享 快速回复 返回顶部 返回列表 关闭